На информационном ресурсе применяются cookie-файлы. Оставаясь на сайте, вы подтверждаете свое согласие на их использование.
Liliy76
v.i.p.
Решила, что стоит создать отдельную тему и не пихать в свою общую.
Вообщем решила я забрать кошку на кураторство из Алениных подвалышей так как мне ее безумно жалко, в подвале здоровым то не сладко, а что говорить о таких.
Написала Алене и сегодня вечером Алена нам организует доставку подопечной.
Только написала Алене и мне написала Оксана (Sawfish), что хочет взять ее, так что теперь девчонка будет в наших четырех руках
, я куратор, Оксана сокуратор.
Посовещавшись решили, что на передержку определим кошечку к Оксане, т.к. у нее котоморд меньше и нет собак и поэтому для кошки будет спокойней чем в моем зоопарке.
Вчера в беседке я просила клетку как раз вот для этой девчонки
Наташа (Янаталка) готова нам одолжить клеточку, но встает вопрос о доставки, никто на машине не ездит Дзержинский - Ленинский районы? Мы были бы очень благодарны за доставку
Вообщем решила я забрать кошку на кураторство из Алениных подвалышей так как мне ее безумно жалко, в подвале здоровым то не сладко, а что говорить о таких.
Написала Алене и сегодня вечером Алена нам организует доставку подопечной.
Только написала Алене и мне написала Оксана (Sawfish), что хочет взять ее, так что теперь девчонка будет в наших четырех руках
, я куратор, Оксана сокуратор.Посовещавшись решили, что на передержку определим кошечку к Оксане, т.к. у нее котоморд меньше и нет собак и поэтому для кошки будет спокойней чем в моем зоопарке.
Вчера в беседке я просила клетку как раз вот для этой девчонки
Наташа (Янаталка) готова нам одолжить клеточку, но встает вопрос о доставки, никто на машине не ездит Дзержинский - Ленинский районы? Мы были бы очень благодарны за доставку

gutculka69
old hamster
Лиля, Оксана, спасибо за киску .
Держим кулачки, чтобы все получилось.
Ну по ходу уже будете писать, что и как, я думаю.
Держим кулачки, чтобы все получилось. Ну по ходу уже будете писать, что и как, я думаю.

Liliy76
v.i.p.
Конечно будем писать и держать в курсе что да как, сейчас первостепенно надо обустроить девчонку, ну и на прием к Тетерину попасть, буду сегодня в клинику звонить узнавать в какие дни принимает О.А.
Нервотрёпка
v.i.p.
Я так и знала))
Я тоже переживала за неё очень. Записывайте и меня в сокураторы)))
Может машиной когда Серёжа поможет, я чуток денежкой, ну и пиаром, как всегда)
***
Я тоже на Алёнины подвалы смотрю с ужасом, тоже, если кто-то пристроится из моих, возьму оттуда кого-нибудь. Жалко и кошек, и Алёну, что она бьётся с толпой невежественных граждан, устраивающих утренники для своих детей в подвале.
Я тоже переживала за неё очень. Записывайте и меня в сокураторы)))
Может машиной когда Серёжа поможет, я чуток денежкой, ну и пиаром, как всегда)
***
Я тоже на Алёнины подвалы смотрю с ужасом, тоже, если кто-то пристроится из моих, возьму оттуда кого-нибудь. Жалко и кошек, и Алёну, что она бьётся с толпой невежественных граждан, устраивающих утренники для своих детей в подвале.
Нервотрёпка
v.i.p.
По клетке я уже с Наташей созвонилась. Серёжа тебе её сегодня вечером привезёт.
Liliy76
v.i.p.
Записываем
Это значит нас уже трое
Теперь точно все у девчонки будет хорошо
Это значит нас уже трое
Теперь точно все у девчонки будет хорошо

Liliy76
v.i.p.
Ой, как здорово! Ну вот с клеткой вопрос решился, СПАСИБИЩЕ! 

Сейчас читают
Новая областная программа-4
397825
1000
Селективная парфюмерия
96548
235
Дозор болтливый.
195821
1000
Добавила фото в первый пост, чтобы было понятно, о какой кошке речь.
А то в ВК идет активный перепост о поиске куратора, что, собственно, уже неактуально.
Спасибо всем неравнодушным!
А то в ВК идет активный перепост о поиске куратора, что, собственно, уже неактуально.
Спасибо всем неравнодушным!

Молодцы, Девочки! Сообща взялись! МОгу только поддержать вас всех и порадоваться за кошечку - она в меганадежных руках!!
Alena29111981
v.i.p.
Девочки спасибо огромное. Чувствительность лапки есть, т.к. она ее трогать не разрешает, болит наверное. Кушает отлично, но там что-кити кет сухой и влажный, сегодня ходила котенка ловить и ее накормила вкуснятиной. Кошка худая, на копчике кости торчат. о ласковая до невозможности. Я позже пойду ее забиру, обработаю Стронгхолдом и часов в 17-30 отправлю к вам. Как отправлю смс вышлю.
Sawfish
v.i.p.пила
Алена, кошка фертильная? Бывшие хозы что-нить говорили про это?
Liliy76
v.i.p.
Алена еще вопросик, ориентировочно когда травма получена, хоть приблизительно нам сроки знать и с какого этажа, я думаю эта информация может пригодиться врачам.
Записалась к Тетерину аж на 26- ноября, раньше не получается, все занято
Записалась к Тетерину аж на 26- ноября, раньше не получается, все занято

gutculka69
old hamster
Смотри, 25 августа мы забирали мамулю беременную, кошки у них уже не было.
И Алена ее увидела через 1.5 мес. травмированную. По своим записям, по переписке с хозяином, она может точнее воспроизвести.
То есть этот период, плюс-минус.
И думаю, что она не стерилизованная, потому что когда мамулю показали пузатую, их это не удивило, сказали что глаза не такие, живот не смутил.
И Алена ее увидела через 1.5 мес. травмированную. По своим записям, по переписке с хозяином, она может точнее воспроизвести.
То есть этот период, плюс-минус.
И думаю, что она не стерилизованная, потому что когда мамулю показали пузатую, их это не удивило, сказали что глаза не такие, живот не смутил.
Liliy76
v.i.p.
Это ориентировочно травме больше месяца получается, если были переломы, то срослись. 
То что есть чувствительность в лапе это радует, но то что травма достаточно застарелая огорчает.
Ну что будем тогда ренген делать, смотреть, что да как и если какая операция, то совмещать со стерилизацией

То что есть чувствительность в лапе это радует, но то что травма достаточно застарелая огорчает.
Ну что будем тогда ренген делать, смотреть, что да как и если какая операция, то совмещать со стерилизацией

gutculka69
old hamster
Снимок однозначно делать.
И довериться Тетерину.
И довериться Тетерину.
В ВК уже под постами написала, что кошечку взяли на кураторство. Спасибо вам БОЛЬШОЕ!


Alena29111981
v.i.p.
Кошка не стерильная точно, я у него спрашивала об этом.
Alena29111981
v.i.p.
Щас порылась в записях, Катя (женщина которая ее нашла) мне писала 26 сентября о том что кошка у нее в подвале и что она уже немного наступает на лапку одну. Т.е. травма в это время уже была. Выходит получила она ее раньше, может август-начало сентября. У хозяев она потерялась в июле.
vodin72@mail.ru
v.i.p.
Так может пока кошечку врачу показать,Николаевой может,в выходные она в цвк,рентген сделатьи обработать наверное надо ?
Ну что, кошка у меня. И, по-моему, она больше "шотландка", чем "британка", так что тему переименовала.
Имя пока не придумалось.
Спасибо Наташе за клетку, Сергею за ее доставку и мужу Алены (извините, не запомнила имя) за доставку кошки.
Попытались мы с Лилей посмотреть ее задние лапки, но мне, честно говоря, было боязно. Стоять и ходить может, при ходьбе очень странно поднимает левую и бережет ее при опоре. В положении сидя стопу как-бы подволакивает. По моему мнению, у нее множественные травмы стопы, и на фото я стрелками обозначила проблемные места: возможный перелом кости стопы, перелом пальца с внутренней стороны и что-то с пальцем с внешней стороны.
По прибытии кошка покушала, позднее попила. Заинтересовалась было лотком, постояла в нем передними лапами и снова легла.
Учитывая, что она не пользовалась задними лапами после травмы, и понаблюдав, как она стоит, предположу, что мог быть какой-нибудь компрессионный перелом позвонка или сильный ушиб с защемлением (это моё дилетантское ИМХО), и возможно еще что-то с левым бедром, но там непонятно, если и был какой-нибудь перелом, то направление вовнутрь.
Кошечка очень охочая до ласки и тихая (пока))), ни разу не пикнула, даже когда мы её ножку осматривали.
Имя пока не придумалось.
Спасибо Наташе за клетку, Сергею за ее доставку и мужу Алены (извините, не запомнила имя) за доставку кошки.
Попытались мы с Лилей посмотреть ее задние лапки, но мне, честно говоря, было боязно. Стоять и ходить может, при ходьбе очень странно поднимает левую и бережет ее при опоре. В положении сидя стопу как-бы подволакивает. По моему мнению, у нее множественные травмы стопы, и на фото я стрелками обозначила проблемные места: возможный перелом кости стопы, перелом пальца с внутренней стороны и что-то с пальцем с внешней стороны.
По прибытии кошка покушала, позднее попила. Заинтересовалась было лотком, постояла в нем передними лапами и снова легла.
Учитывая, что она не пользовалась задними лапами после травмы, и понаблюдав, как она стоит, предположу, что мог быть какой-нибудь компрессионный перелом позвонка или сильный ушиб с защемлением (это моё дилетантское ИМХО), и возможно еще что-то с левым бедром, но там непонятно, если и был какой-нибудь перелом, то направление вовнутрь.
Кошечка очень охочая до ласки и тихая (пока))), ни разу не пикнула, даже когда мы её ножку осматривали.
Ох, девочки, вы такие молодцы
Очень рада за киску, я стараюсь не читать грустные истории, но на эту красотку смотрю давно, переживала за нее, как она там жила?
Спасибо вам всем, за девочку!
Очень рада за киску, я стараюсь не читать грустные истории, но на эту красотку смотрю давно, переживала за нее, как она там жила?
Спасибо вам всем, за девочку!

Ну вот Оксана уже отчиталась о нашей подопечной
На самом деле очень спокойная и тихая девочка, прямо вот тихая тихая как мышка, но это может конечно пока, она бедная уже настрадалась и готова на все ради еды, тепла и ласки.
Очень худенькая, даже щупать не надо и так видать все кости и позвоночник, но это поправим
Насчет лапки то там без ренгена ничего не понятно, думаю, что надо делать ренген позвоночника, лапы и стопы. Не понравилась нам вчера рана внешняя на пальце, мы думали, что это короста, но что-то там не особо похоже на кровь, как какой-то черный нарост, не хорошая рана какая-то, один пальчик мне показался вообще оторван, внутри в шкурке болтается, но я особо не щупала, т.к. ей больно и она отдергивает лапу.
То что больно подтверждает, что чувствительность есть и это хорошо.
В эту субботу повезем в ЦВК к Николаевой, записались на 16.00 часов т.к. рана на лапе беспокоит, но и заодно ренген сделаем, ну, а там уже по результатам осмотра и ренгена будем действовать.
На самом деле очень спокойная и тихая девочка, прямо вот тихая тихая как мышка, но это может конечно пока, она бедная уже настрадалась и готова на все ради еды, тепла и ласки.
Очень худенькая, даже щупать не надо и так видать все кости и позвоночник, но это поправим

Насчет лапки то там без ренгена ничего не понятно, думаю, что надо делать ренген позвоночника, лапы и стопы. Не понравилась нам вчера рана внешняя на пальце, мы думали, что это короста, но что-то там не особо похоже на кровь, как какой-то черный нарост, не хорошая рана какая-то, один пальчик мне показался вообще оторван, внутри в шкурке болтается, но я особо не щупала, т.к. ей больно и она отдергивает лапу.
То что больно подтверждает, что чувствительность есть и это хорошо.
В эту субботу повезем в ЦВК к Николаевой, записались на 16.00 часов т.к. рана на лапе беспокоит, но и заодно ренген сделаем, ну, а там уже по результатам осмотра и ренгена будем действовать.
Что-то я видать еще сплю с утра, хотела начать с благодарностей, а написала про кошечку
Огромное СПАСИБО за клетку, за доставку клетки и кошки!!!
Мы прямо вчера все так здорово и слажено сработали, что прямо душа радуется, как все-таки хорошо, что когда рядом есть те кто готовы прийти, помочь, подставить плечо, СПАСИБИЩЕ!
Огромное СПАСИБО за клетку, за доставку клетки и кошки!!!
Мы прямо вчера все так здорово и слажено сработали, что прямо душа радуется, как все-таки хорошо, что когда рядом есть те кто готовы прийти, помочь, подставить плечо, СПАСИБИЩЕ!
Переночевали хорошо. Ночью она сходила и по малой нужде , и по большой (но крохотной порцией))). Кал сформированный.
Также утром еще при мне сходила, я смогла понаблюдать - дефекация прошла практически стоя, кал также сформированный, но приплюснутый. Видимо, всё-таки какая-то боковая травма таза была.
Аппетит отменный. Помякала мне в ответ сегодня немножко, голосок негромкий.
Назвать мне ее хочется Мэгги.
Также утром еще при мне сходила, я смогла понаблюдать - дефекация прошла практически стоя, кал также сформированный, но приплюснутый. Видимо, всё-таки какая-то боковая травма таза была.
Аппетит отменный. Помякала мне в ответ сегодня немножко, голосок негромкий.
Назвать мне ее хочется Мэгги.
Ну пусть будет Мэгги 
Я почему-то кошкам стараюсь дать имена где есть буквы: к, с, ш, мне кажется что кошачьи имена должны быть мягонькими, а вот собачьи наоборот, короткие, громкие - удобней на улице окликивать. Хотя у меня кот - Бармалей и нормально отзывается, когда кричу Бармалеюшка иди че дам, бежит и смотрит что положу
Это хорошо, что в туалет ходит куда надо и кал оформленный, а вот то, что сплющенный это плохо, я все надеюсь, что сможем обойтись без операции, хотя нам все равно ее стерилить надо и если что, то лучше совместить.
Ладно, что раньше времени гадать, в клинику сходим и будет ясно.

Я почему-то кошкам стараюсь дать имена где есть буквы: к, с, ш, мне кажется что кошачьи имена должны быть мягонькими, а вот собачьи наоборот, короткие, громкие - удобней на улице окликивать. Хотя у меня кот - Бармалей и нормально отзывается, когда кричу Бармалеюшка иди че дам, бежит и смотрит что положу
Это хорошо, что в туалет ходит куда надо и кал оформленный, а вот то, что сплющенный это плохо, я все надеюсь, что сможем обойтись без операции, хотя нам все равно ее стерилить надо и если что, то лучше совместить.
Ладно, что раньше времени гадать, в клинику сходим и будет ясно.
gutculka69
old hamster
Главное чувствует позывы, нет такой фигни, как было с Васей. ТТТ сто тысяч раз.
Liliy76
v.i.p.
Ну да
все как говориться познается в сравнении, то что чувствует и делает куда надо это уже просто замечательно
все как говориться познается в сравнении, то что чувствует и делает куда надо это уже просто замечательно
Завтра пойдем в ЦВК к Николаевой Н.В. я думаю, что нам ренген надо будет в трех проекциях, может конечно и меньше обойдется, но что-то мне подсказывает, что лечение у нас будет затратным, поэтому вынуждены обратиться за финансовой помощью, если кто захочет нам помочь, то мы с девчушкой будем очень благодарны 

Съездили мы сегодня в ЦВК. Две новости - хорошая и плохая.
Хорошая: множественных травм стопы (чего я боялась) нет, это все натертое и содранное, но в пальчиках нет чувствительности.
Плохая: множественные травмы таза, два перелома точно (на рентгене кошка дергалась, смазано). Сломаны обе подвздошные кости ((( Возможно падение с высоты на препятствие (бордюр, заграждение), но это, конечно, из области догадок. Из-за травм таза сужен проход примерно на 1 см. В будущем это грозит проблемами с дефекацией.
Хорошая: множественных травм стопы (чего я боялась) нет, это все натертое и содранное, но в пальчиках нет чувствительности.
Плохая: множественные травмы таза, два перелома точно (на рентгене кошка дергалась, смазано). Сломаны обе подвздошные кости ((( Возможно падение с высоты на препятствие (бордюр, заграждение), но это, конечно, из области догадок. Из-за травм таза сужен проход примерно на 1 см. В будущем это грозит проблемами с дефекацией.
ЕЛЕНАапрель
v.i.p.
Бедная девочка 
Это всё жутко болело
Оксана, а какие прогнозы и перспективы? Лечение, операции, уход?
Что можно для кошечки сделать?

Это всё жутко болело

Оксана, а какие прогнозы и перспективы? Лечение, операции, уход?
Что можно для кошечки сделать?
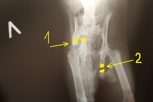
Sawfish
v.i.p.пила
На переломе 2 уже образовалась костная мозоль, по нему точно никаких действий.
С переломом 1 возможен вариант крепления пластиной.
Если (или когда) начнутся проблемы (запор) из-за сужения прохода, то операция по расширению.
Мы еще пойдем к Тетерину, что он скажет.
Приложила еще раз снимок, где показала переломы.
С переломом 1 возможен вариант крепления пластиной.
Если (или когда) начнутся проблемы (запор) из-за сужения прохода, то операция по расширению.
Мы еще пойдем к Тетерину, что он скажет.
Приложила еще раз снимок, где показала переломы.
Alena29111981
v.i.p.
Бедная девочка. Упала она со 2го этажа, летом, там под балконами клумбы и больше ничего. сомневаюсь что с такой высоты можно так переломаться. Наверное с ней что то еще случилось на улице. Как же ей повезло все таки. Что бы с ней было на улице страшно подумать...
Sawfish
v.i.p.пила
Еще предположение, что пнули ее со всей дури, но два диаметрально противоположных перелома - это как можно так пнуть? Теперь вот думаю, что и два пинка могла получить... А может и дверью прихлопнули...
На пальце ничего страшного, гранулирование началось, не давать разлизывать, обрабатывать левомиколем.
На пальце ничего страшного, гранулирование началось, не давать разлизывать, обрабатывать левомиколем.
Оксана уже рассказала про наш поход в клинику, так что вот такие у нас дела. Теперь в субботу 26 го повезем к Тетерину О А что он нам еще скажет.
Радует, что у нее идет востановление двигательной системы лап, хотя мышцы уже и отрофировались малость, быстрей всего со временем и востановится, а вот с переломами таза время конечно упущено. Огорчает сужение на 1см и операция будет нужна рано или поздно
Но что теперь будем делать что сможем. Котодевочка замечательная, тихонько ехала всю дорогу молчком, очень тихая и трогательная, это здорово, что мы ее вытащили из подвала.
Радует, что у нее идет востановление двигательной системы лап, хотя мышцы уже и отрофировались малость, быстрей всего со временем и востановится, а вот с переломами таза время конечно упущено. Огорчает сужение на 1см и операция будет нужна рано или поздно

Но что теперь будем делать что сможем. Котодевочка замечательная, тихонько ехала всю дорогу молчком, очень тихая и трогательная, это здорово, что мы ее вытащили из подвала.
Лиля, у меня была кошечка Лея, с застарелым переломом таза, теперь уже давно пристроена. Наталья Владимировна говорила, что ей нужно строго держать вес, нельзя поправляться. Рекомендовала корм с высоким содержанием клетчатки, Хиллс метаболик, если правильно помню (давненько было). Общались с хозяйкой, они кормили строго по рекомендации, проблем не было с кошечкой, весёлая и активная, ещё и аборигенов "построила".
Юля, а можно поподробней
у Леи тоже было сужение, т.е. сломаная повздошная кость сдавливала кишку ? И вы ее не оперировали по расширению?
Просто нам сказали, что как возникнут проблемы со стулом, то оперироваться, а вот когда они возникнут неизвестно, но то что возникнут мы не сомневаемся, т.к. уже сужение на 1см.
у Леи тоже было сужение, т.е. сломаная повздошная кость сдавливала кишку ? И вы ее не оперировали по расширению?Просто нам сказали, что как возникнут проблемы со стулом, то оперироваться, а вот когда они возникнут неизвестно, но то что возникнут мы не сомневаемся, т.к. уже сужение на 1см.
Нет, оперировать нам её точно не предлагали. К сожалению, в подробностях, что было, уже не помню, а все назначения и рентгеновские снимки уехали вместе с Леей к хозяйке
У неё была необычная походка, задняя часть как бы "тянула" её вниз, поэтому тогда и решили проверить, что там у неё. В её карте так и было написано - застарелый перелом таза. Она весила около 3-х кг или чуть меньше и да, помню, что во избежание проблем с дефекацией и чтобы ей в дальнейшем не было тяжело ходить, категорически запретили набирать вес.
У неё была необычная походка, задняя часть как бы "тянула" её вниз, поэтому тогда и решили проверить, что там у неё. В её карте так и было написано - застарелый перелом таза. Она весила около 3-х кг или чуть меньше и да, помню, что во избежание проблем с дефекацией и чтобы ей в дальнейшем не было тяжело ходить, категорически запретили набирать вес.У меня была подобная проблема у кошки , кто помнит Мальту без хвоста . Хозяева ей ежедневно " подмывают " попу .
Ну у Мальты значит подтекает, а тут сломанная кость давит на кишку, поэтому и кал сплющенный, кишка уже сдавлена на 1 см и при нарастании костной мозоли вообще может передавить, в нашем случае грозит проблема, что кал вообще не сможит выходить и когда это поизойдет, т.е. отсутствие кала 2-3 дня, то срочно на операцию по расширению, короче освобождению кишки. Вопрос стоит в том, что ждать нам этого или сразу можно сделать операцию. В ЦВК сказали ждать, лично мое мнение зачем ждать неизбежного и сразу поооперироваться, но я ни хирург и не знаю всех нюансов, так что будем ждать вердикт Тетерина О. А.
Нет , не подтекает . Она хорошо ходит на горшок , но как бы проще говоря , недокакивает и горошинка остается на попе и она к ней прилипает . Как будто не может додавить что ли . Не знаю как еще объяснить )))
Все равно не наш случай, у нас кал может вообще не доити до попы если так сказать.
А то что не докакивает, это я не знаю чем может быть вызвано
У Стеши было после возврата и у Зоси, что горошинки выпадали при прыжке, но это из за длительного растройства стула было, сейчас все нормально.
А то что не докакивает, это я не знаю чем может быть вызвано
У Стеши было после возврата и у Зоси, что горошинки выпадали при прыжке, но это из за длительного растройства стула было, сейчас все нормально.
Ну вот не долго мы наблюдали, сегодня уже начались проблемы со стулом, ходит в лоток, тужиться и с большими усилиями выдавливает сплющенный кал размером с горошину
Видать из-за того, что еды стало больше кал начал скапливаться, несмотря на то, что корм даем маленькими порциями.
Надо оперироваться, операция дело дорогое и поэтому будем очень благодарны материальной помощи
мы не думали, что события так быстро будут развиваться

Видать из-за того, что еды стало больше кал начал скапливаться, несмотря на то, что корм даем маленькими порциями.
Надо оперироваться, операция дело дорогое и поэтому будем очень благодарны материальной помощи
мы не думали, что события так быстро будут развиваться
Нервотрёпка
v.i.p.
Плохи дела!
А к Тетерину запись только на конец недели?
Как быть? Ехать без очереди?
Сразу оставлять на операцию? Но в долг они теперь не делают, а сумма будет, наверно, около 20 тыс. руб.
Очень печально, мы такую сумму втроем не наберем, наверно
А к Тетерину запись только на конец недели?
Как быть? Ехать без очереди?
Сразу оставлять на операцию? Но в долг они теперь не делают, а сумма будет, наверно, около 20 тыс. руб.
Очень печально, мы такую сумму втроем не наберем, наверно

Liliy76
v.i.p.
Я вчера выловила ночью (пол двенадцатого) Олега Анатольевича
, он к нашему счастью по каким то делам оказался в клинике, а я в это время нудила девочкам по телефону, что нам надо срочно и помогите чем можете, вообщем нас соединили, я объяснила нашу ситуацию, если честно, то я и вчера была готова ее привезти ему, но он сказал, что тяните до четверга, в четверг у него плановая операция в 09.30 и он сказал привозите минут за 20 до операции, кошку подготовить к операции (не поить и не кормить) он посмотрит ее и если что, то кошку заберет и в течении дня между операциями прооперирует.
Меня сразу предупредили что в долг не берут, что ориентировочно если только расширение, то стоимость 10 тыс. руб. но это на вскидку, т.к. не видел кошку и снимков, но не менее 10 тыс. руб.
Хочу выразить огромную благодарность девочкам и Олегу Анатольевичу, что вошли в наше положение, СПАСИБИЩЕ!
Теперь вот осталось дотянуть до четверга и найти деньги
, он к нашему счастью по каким то делам оказался в клинике, а я в это время нудила девочкам по телефону, что нам надо срочно и помогите чем можете, вообщем нас соединили, я объяснила нашу ситуацию, если честно, то я и вчера была готова ее привезти ему, но он сказал, что тяните до четверга, в четверг у него плановая операция в 09.30 и он сказал привозите минут за 20 до операции, кошку подготовить к операции (не поить и не кормить) он посмотрит ее и если что, то кошку заберет и в течении дня между операциями прооперирует.Меня сразу предупредили что в долг не берут, что ориентировочно если только расширение, то стоимость 10 тыс. руб. но это на вскидку, т.к. не видел кошку и снимков, но не менее 10 тыс. руб.

Хочу выразить огромную благодарность девочкам и Олегу Анатольевичу, что вошли в наше положение, СПАСИБИЩЕ!
Теперь вот осталось дотянуть до четверга и найти деньги

Нервотрёпка
v.i.p.
Да уж...10 тыс. тоже сумма приличная. Да и сразу надо понимать, что если даже операция будет стоить 10, то всё равно понадобится и послеоперационный уход, и лекарства, и расходные материалы, и спец корм.
***
Дорогие форумчане и читатели форума, без вас нам даже втроём не справится. Материальное положение у всех троих, мягко скажем, не очень.
***
Дорогие форумчане и читатели форума, без вас нам даже втроём не справится. Материальное положение у всех троих, мягко скажем, не очень.
Лиля , а разве этот случай не подходит под правила выделения средств из общего фонда ?
Даже и не знаю подходит наш случай или нет
У нас же даже и назначения нет на бумажке, только снимки и вот записались по телефону
У нас же даже и назначения нет на бумажке, только снимки и вот записались по телефону

Нервотрёпка
v.i.p.
Ну ты подай заявку. Попытка не пытка. Не дадут так не дадут.
Будем до четверга собирать сами пытаться.
Будем до четверга собирать сами пытаться.
Отчет за период: с 17.11.16-20.11.16г.
Приход:
1) Благотворитель (Нервотрепка) - 1000,00 руб.
2) Благотворитель (анонимный) - 300,00 руб.
Итого приход: 1300,00 руб.
Расход:
19.11.16г. прием в ЦВК + ренген - 900,00руб.
Итого расход: 900,00 руб.
Остаток на 20.11.16г. - 400,00 руб.
Приход:
1) Благотворитель (Нервотрепка) - 1000,00 руб.
2) Благотворитель (анонимный) - 300,00 руб.
Итого приход: 1300,00 руб.
Расход:
19.11.16г. прием в ЦВК + ренген - 900,00руб.
Итого расход: 900,00 руб.
Остаток на 20.11.16г. - 400,00 руб.
ТОП 5
2
4